Este site utiliza cookies e outras tecnologias semelhantes para melhorar a sua experiência em nossa plataforma. Ao continuar navegando, você concorda com a nossa Política de Privacidade.

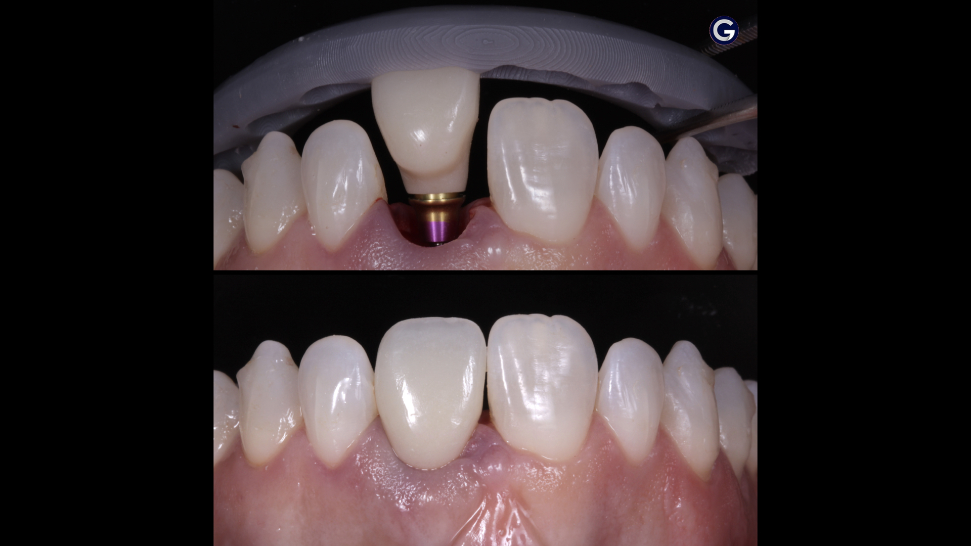
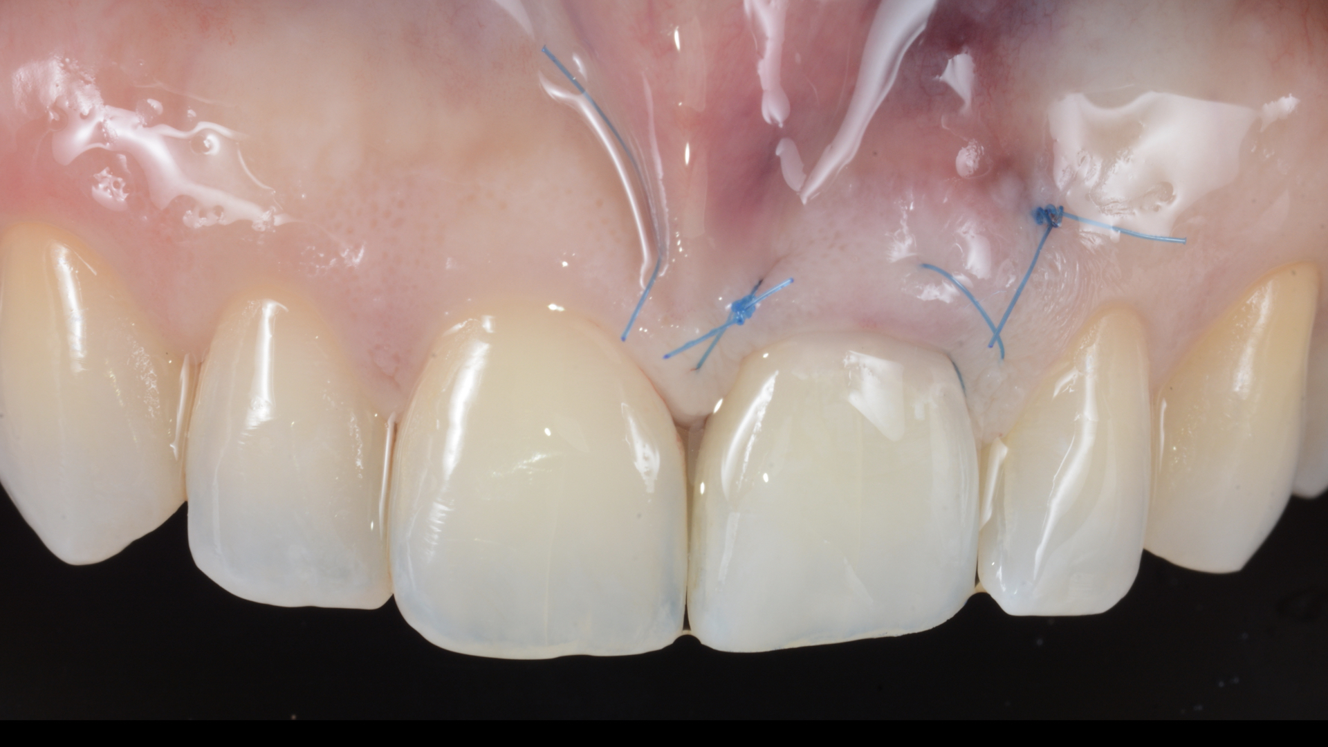
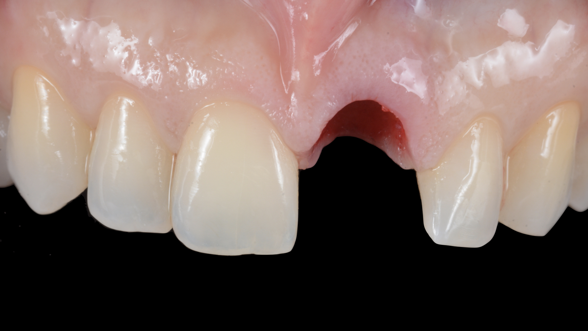
Caso Clínico realizado com Caso Provisório Imediato

Provisório Imediato